폐는 공기로 채워져 있기 때문에, consolidation(경화)가 없다면 직접 보이지 않는다. 대신 pleural membrane(흉막)의 경계면에서 발생하는 artifacts(허상)를 주로 이용한다. 다른 검사들에서 artifacts는 방해가 되지만, 흉부 초음파검사에서는 진단에 도움이 될 수 있다. 흔히 보이는 lung artifacts(폐 허상)에는 두 종류가 있다: A-lines과 comet-tail(혜성-꼬리) artifacts.
이 두 artifact 모두 reverberation(반향) artifact의 종류이다.

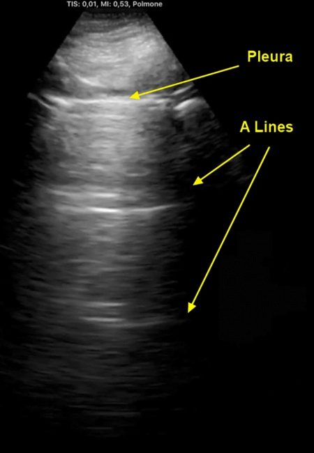
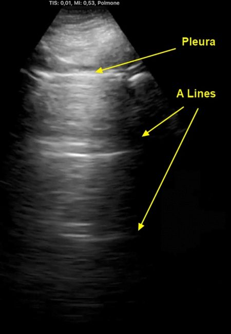
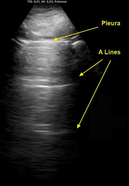
Horizontal arfifact(수평 허상)으로 알려지기도 한 A-line은 갈비뼈 음영들 사이에서 pleural line이 반복되는 모양으로 나타난다. A-line의 존재는 정상으로 간주되며, B-line이나 lung rockets(폐 로켓)이 모일 때는 관찰할 수 없다.
cf. A-line과 lung line의 구분
1. A-line은 skin-pleural line 간의 거리 간격만큼 정확히 떨어져서 나타난다.
2. A-line은 M mode에서 sinusoid sign(사인 징후)와 같은 동적 움직임이 없다.
3. Pleural line과 첫 번째 A-line 사이의 공간은 주로 echogenic 하지만, 합병증이 없는 pleural effusion에서는 대부분 anechogenic 하다.
Comet-tail artifact는 공기와 체액의 작은 경계면에서 발생하는 reverberation artifact의 한 종류이다. 이 artifact는 pleural line에서 시작되는 hyperechoic vertical line(고에코성 수직선)으로 나타난다. 주된 comet-tail로는 Z-line과 B-line 이렇게 두 가지가 있다.
Z-line은 화면상에서 멀리 떨어진 곳까지는 미치지 않는 점점 희미해지는 hyperechoic line이며, 정상적인 일반인들에게서 관찰되는 경우도 있다.

B-line은 pleural line에서 시작하여 희미해짐 없이 화면의 끝까지 확산되는 명확히 확인되는 형태의 artifact이다. B-line으로 인해 A-line이 화면에서 보이지 않고, lung sliding과 함께 움직인다. 단일의 B-line 또는 lung dependent portion(폐 의존 부위)에서 여러 개의 B-line이 정상인에서도 관찰될 수 있다. 하지만, 폐의 앞/윗부분에서 관찰되는 여러 개의 B-line은 보통 'lung rocket'이라고 불리며, 이는 병리적인 변화이다.
B-line에는 5가지 특징이 있다:
1. Pleural line에서 시작
2. 형태가 명확
3. 화면의 가장자리를 향해 뻗어나감
4. A-line을 사라지게 함
5. Lung sliding과 함께 움직임
Term
Horizontal artifact (A-lines):
Horizontal echogenic line between rib shodows that represents the repetition of the pleural line. Seen in normal lung.
Comet-tail artifact (Z-lines):
Tapering vertical echogenic line that does not reach the edge of the screen. Often seen patients.
Comet-tail artifact (B-lines):
Vertical echogenic reverberation artifact arising from the pleural line, spreads to the edge of the screen without fading, moves with the lung. Presence excludes pneumothorax. A single B line or several in the dependent portion of the lung may be normal. Multiple B lines("lung rockets") are pathogenic.
Reference
Handbook of Critical Care & Emergency Ultrasound, 중환자 및 응급 환자 초음파 핸드북
Kristin A. Carmody et al. 저, 문재영, 박재석, 박명린, 하상욱 역
군자출판사
2024.03.08 - [의학] - 초음파를 이용한 interior vena cava(하대정맥)의 평가_1
초음파를 이용한 interior vena cava(하대정맥)의 평가_1
Background Interior vena cava(IVC, 하대정맥)에 대한 point-of-care(POC) examination은 빠르고 비침습적으로 right atrial pressure(우심방압) 검사를 가능하게 하며, volume status와 volume responsiveness를 판단하는데 유용하
blueorbit.tistory.com
2024.03.06 - [의학] - Cardiac Ultrasound Technique-1
Cardiac Ultrasound Technique-1
Background Point-of-care cardiac ultrasound examination은 experienced provider에게 매우 유용한 임상 도구로서, heart의 structure와 function을 평가해야 하므로 the highest quality image를 얻어야 한다. Cardiac ultrasound exam find
blueorbit.tistory.com
2024.01.26 - [의학] - 기계 호흡 중인 환자에서 초음파로 흉수(pleural effusion)의 양을 측정하는 방법
기계 호흡 중인 환자에서 초음파로 흉수(pleural effusion)의 양을 측정하는 방법
Objective 본 연구는 기계 호흡을 적용 중인 환자에서 초음파를 이용하여 pleural effusion (흉수)의 양을 측정하는 방법을 알아내기 위해 진행하였습니다. Design & Setting 대학병원의 중환자실에 입원한 8
blueorbit.tistory.com
2024.02.11 - [의학] - 초음파를 이용한 쇄골하 정맥의 중심정맥관 삽입술
초음파를 이용한 쇄골하 정맥의 중심정맥관 삽입술
Ultrasound-Guided Subclavian Vein Catheterization: A Systematic Review and Meta-Analysis Objective Ultrasound-guided subcavian vein catheterization(초음파 유도하 쇄골하 정맥 카테터 삽입술)에 대해 많은 보고들이 있지만 이에 대
blueorbit.tistory.com
'의학' 카테고리의 다른 글
| 경장 영양(enteral nutrition) 중인 중환자에서 금식 시간을 어떻게 줄일 수 있을까 (0) | 2024.03.19 |
|---|---|
| 항생제 감수성 검사 방법 (0) | 2024.03.19 |
| 수면 주기의 신경생물학 (4) | 2024.03.18 |
| 항문수지검사 (0) | 2024.03.17 |
| 치핵의 해부학적 소견 (1) | 2024.03.16 |