Hemodynamic Management in the ICU
인간을 대상으로 한 임상연구는 부족하지만, European Society of Cardiology의 최신 가이드라인에서 추천하는 폐색전증(pulmonary embolism) 치료는 다음과 같다:
1.volume expansion 시 주의할 것.
2. 혈압이 저하되어 필요한 경우 우심실 기능을 호전시키기 위해 norepinephrine을 주입할 것.
3. 기계 호흡 중인 환자에서는 낮은 tidal volume과 낮은 plateaue pressure를 유지할 것

전통적으로 dobutamine이 확실한 evidence가 없었음에도, 저혈압/쇼크에서 주요 약물로 선택되었다. Jardin 등이 보고한 바에 따르면 자발 호흡을 하는 10명의 환자를 대상으로 한 소규모 연구에서 30분 동안 dobutamine을 주입하였더니 cardiac index가 유의하게 증가하고 pulmonary vascular resistance가 감소하였다.
Jardin F et al, Margairaz A. Dobutamine: a hemodynamic evaluation in pulmonary embolism shock. Crit Care Med. 1985;13:1009–12.
Dobutamine의 주요 장점이란 noreprinephrine과 비교했을 때 말초 정맥 카테터를 통해 주입이 가능하다는 점을 들 수 있다.
1. Volume expansion 시 주의할 것
Intermediate risk 폐색전증 환자를 대상으로 시행한 한 연구에서는 volume expansion 전의 심박출량 증가는 우심실 확장과 역상관관계를 보였다.
Mercat A et al. Hemodynamic effects of fluid loading in acute massive pulmonary embolism. Crit Care Med. 1999;27:540–4.
우심실이 더 확장될수록 심박출량과 혈역학적인 기능은 떨어지게 된다. 게다가 폐색전증에 대한 실험 연구에서는 volume expansion은 우심실 stress를 늘림으로써 악영향을 미치며, 이어서 좌심실 기능도 저하시켜 심박출량 및 혈압을 감소로 이어진다.
Ghignone M et al. Volume expansion versus norepinephrine in treatment of a low cardiac output complicating an acute increase in right ventricular afterload in dogs. Anesthesiology. 1984;60:132–5.
2. 혈압 저하 시 필요한 경우 우심실 기능을 호전시키기 위해 norepinephrine을 주입할 것
다시 설명하자면, 수액으로 우심실 과부하를 증가시키는 대신, norepinephrine을 주입하는 방법이 우심실 기능을 보조하고 혈압 저하 시 심박출량을 늘릴 수 있다. 이 방법은 특히 coronay perfusion pressure를 회복시킨다.
폐색전증으로 인해 쇼크를 보이는 개를 대상으로 한 연구에 빠르면, norepinephrine으로 resuscitation 한 모든 개는 1시간 동안 혈역학적으로 안정적이었던 반면, 수액이나 isoproterenol을 투여한 개는 모두 죽었다.
Molloy WD et al. Treatment of shock in a canine model of pulmonary embolism. Am Rev Respir Dis. 1984;130:870–4.
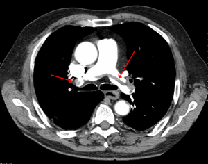
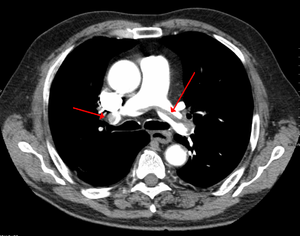
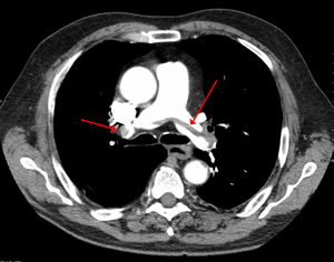
Pulmonary emboli. Reference. 위키백과

3. 기계 호흡 중인 환자에서는 낮은 tidal volume과 낮은 plateaue pressure(고원압)를 유지할 것
그동안 몇 가지 치료 방법이 고안되었지만, 데이터 부족으로 확실히 적용할 수는 없는 상황이다. 몇몇 소규모 연구에서는 nitrix oxide 흡입 치료로 폐의 기능이 호전되었다고 보고하였다.
Szold O et al. Inhaled nitric oxide improves pulmonary functions following massive pulmonary embolism: a report of four patients and review of the literature. Lung. 2006;184:1–5.
마지막으로 돼지를 대상으로 한 연구에서는 rescue 요법으로 extracorporeal cardiopulmonary support가 효과적이었지만 인간을 대상으로 한 연구는 여전히 부족한 상황이다.
Kjaergaard B et al. Extracorporeal cardiopulmonary support may be an efficient rescue of patients after massive pulmonary embolism. An experimental porcine study. Thromb Res. 2012;129:e147–51.
Reference
Guy Meyer et al. Recent advances in the management of pulmonary embolism: focus on the critically ill patients. Ann. Intensive Care (2016) 6:19.
2021.11.15 - [의학] - NOACs을 복용 중이던 환자가 응급 수술을 받는 경우
NOACs을 복용 중이던 환자가 응급 수술을 받는 경우
What If a Patient Treated With a NOAC Requires Urgent Surgery? 정상 신기능을 가진 환자에서 마지막 NAOC 복용이 응급 수술 24시간 전이었다면 therapeutic effect의 80% 이상이 사라질 가능성이 높다. 만약 마지막 복
blueorbit.tistory.com
2021.11.15 - [의학] - 수술을 앞둔 환자에서 NOACs를 언제 중단해야 할까?
수술을 앞둔 환자에서 NOACs를 언제 중단해야 할까?
When Should a NOAC Be Withheld Befor Surgery? 수술 전후 기간 동안 NOAC를 언제 일시적으로 중단할지 여부는 다음 2 가지 사항을 고려해야 한다. (1) 시술 혹은 수술의 출혈 위험성 정도 (2) 환자의 신장 기능
blueorbit.tistory.com
2024.01.05 - [의학] - 화상 환자의 빈혈의 원인과 혈액 응고 장애
화상 환자의 빈혈의 원인과 혈액 응고 장애
빈혈은 중증 환자에서 흔히 발생합니다. 중증환자에서 빈혈이 발생하는 병태생리는 가피절제 및 피부이식에 따른 수술적 치료 중 발생하는 실혈과 중증 질환에 의한 빈혈로 나누어 설명할 수
blueorbit.tistory.com
'의학' 카테고리의 다른 글
| Caudal Anesthesia(미골 마취) (0) | 2024.03.04 |
|---|---|
| COVID 19 중환자에게 영양 지원을 하는 10가지 tip (1) | 2024.03.04 |
| 중환자에서 발생하는 linezolid induced thrombocytopenia (0) | 2024.03.03 |
| 중환자에서 postpyloric EN과 gastric EN의 예후 비교 (0) | 2024.03.02 |
| Acute respiratory distress syndrome(급성 호흡곤란 증후군)에서 driving pressure와 survival의 관계 (0) | 2024.03.02 |