2024.03.01 - [의학] - Reading chest radiographs in the critically ill (Part I) - 1
Reading chest radiographs in the critically ill (Part I) - 1
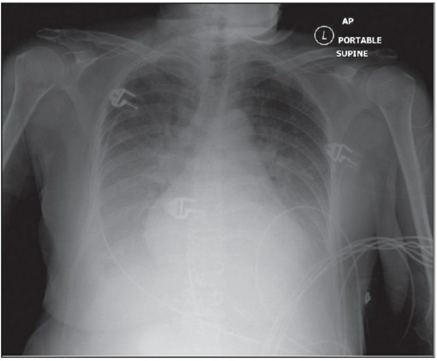
The Normal Chest X-ray중환자실에서 일반적으로 PA chest X ray는 거의 시행하지 않으며, 주로 AP(anteroposterior) chest X ray를 시행한다. AP CXR은 upright position에서 최대 흡기 시 patient-to-x-ray plate가 72inches(182.88cm
blueorbit.tistory.com
Central venous catheters
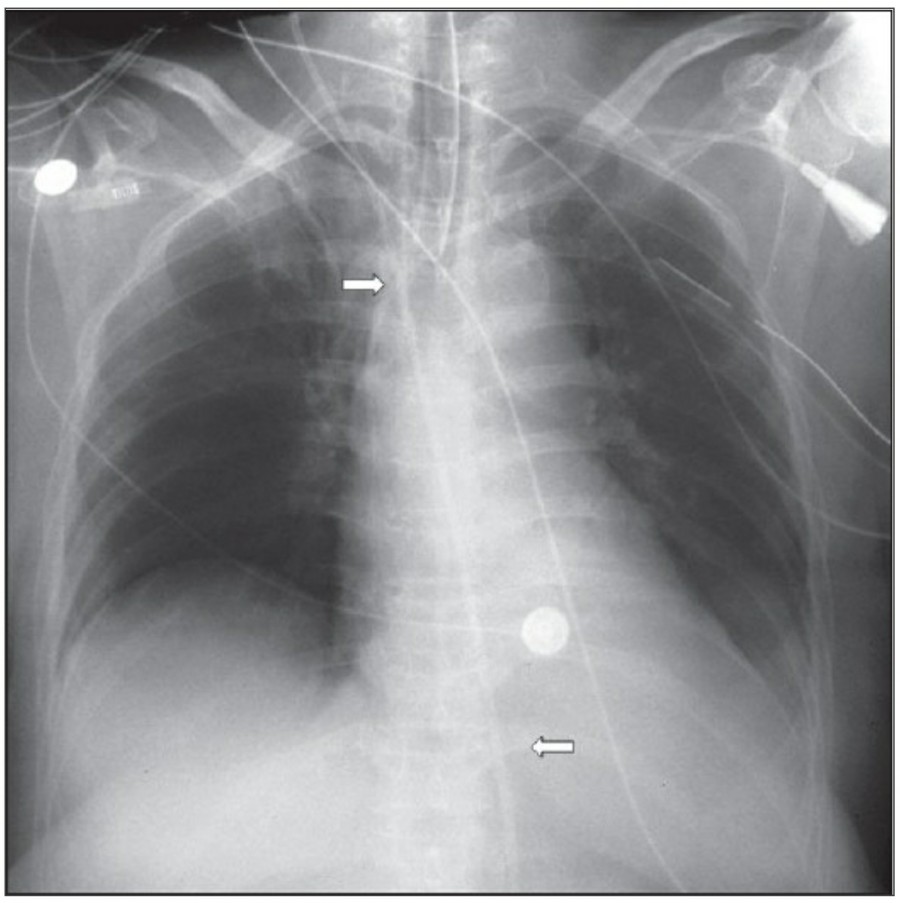
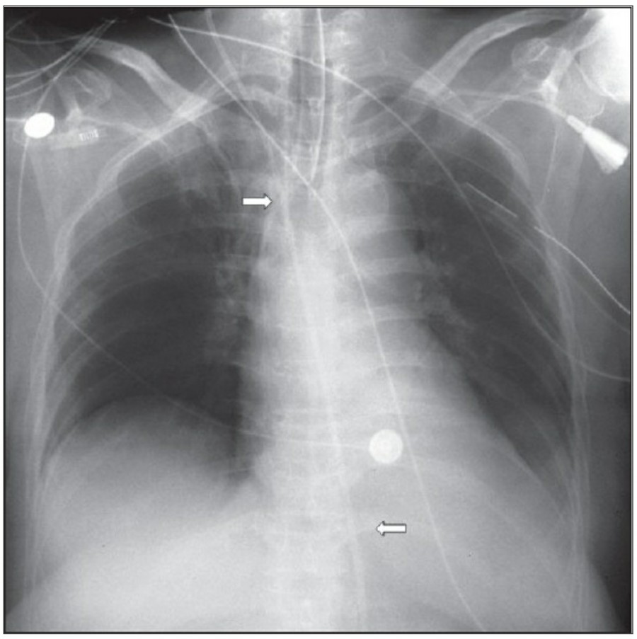
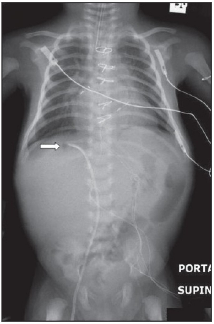
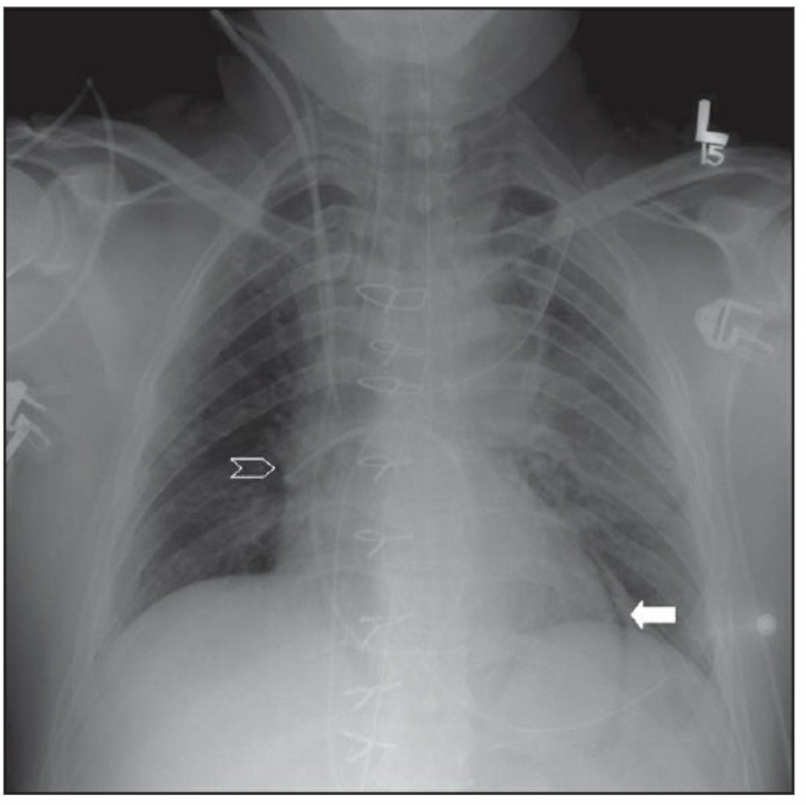
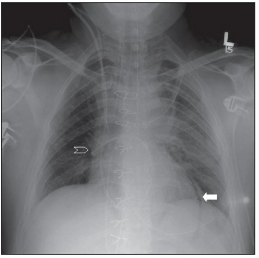
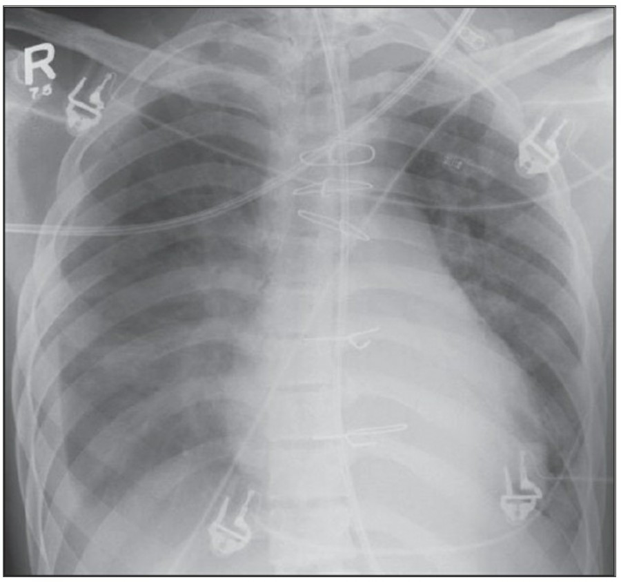
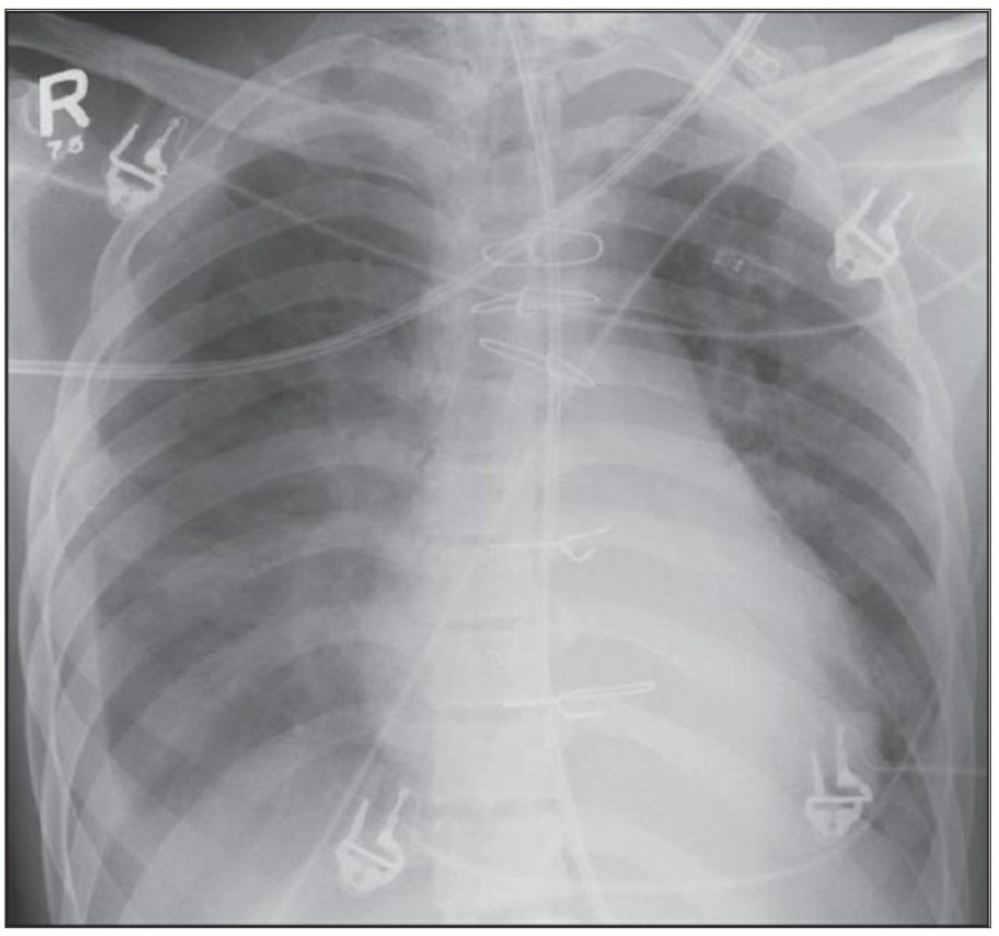
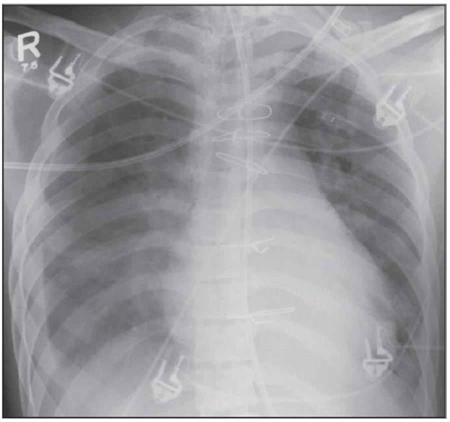
CVP tip의 이상적인 위치는 subclavian vein이나 jugular vein의 가장 proximal venous valve와 right atrium 사이다. CVP tip이 internal jugular vein이나 right atrium, right ventricle에 위치하는 경우는 드물지 않으며, superior vena cava보다 원위부에 위치하는 경우 arrhythmia나 cardiac perforation이 발생할 수 있다.





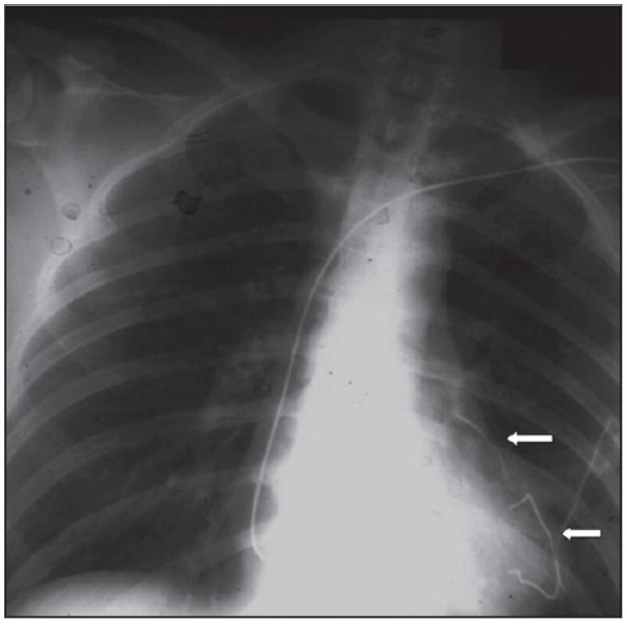
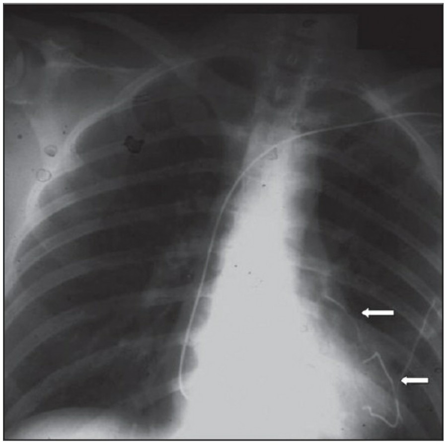
Monitoring pulmonary capillary wedge pressure Pulmonary
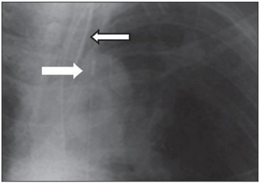
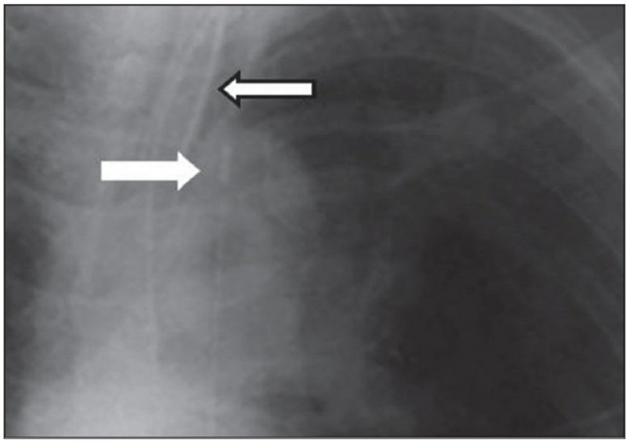
Swan-Ganz catheter의 tip은 mdiastinal shadow에 위치해야 하며, interlobar pulmonary artery의 근위부가 이상적이다.



The intra-aortic counterpulsation balloon pump
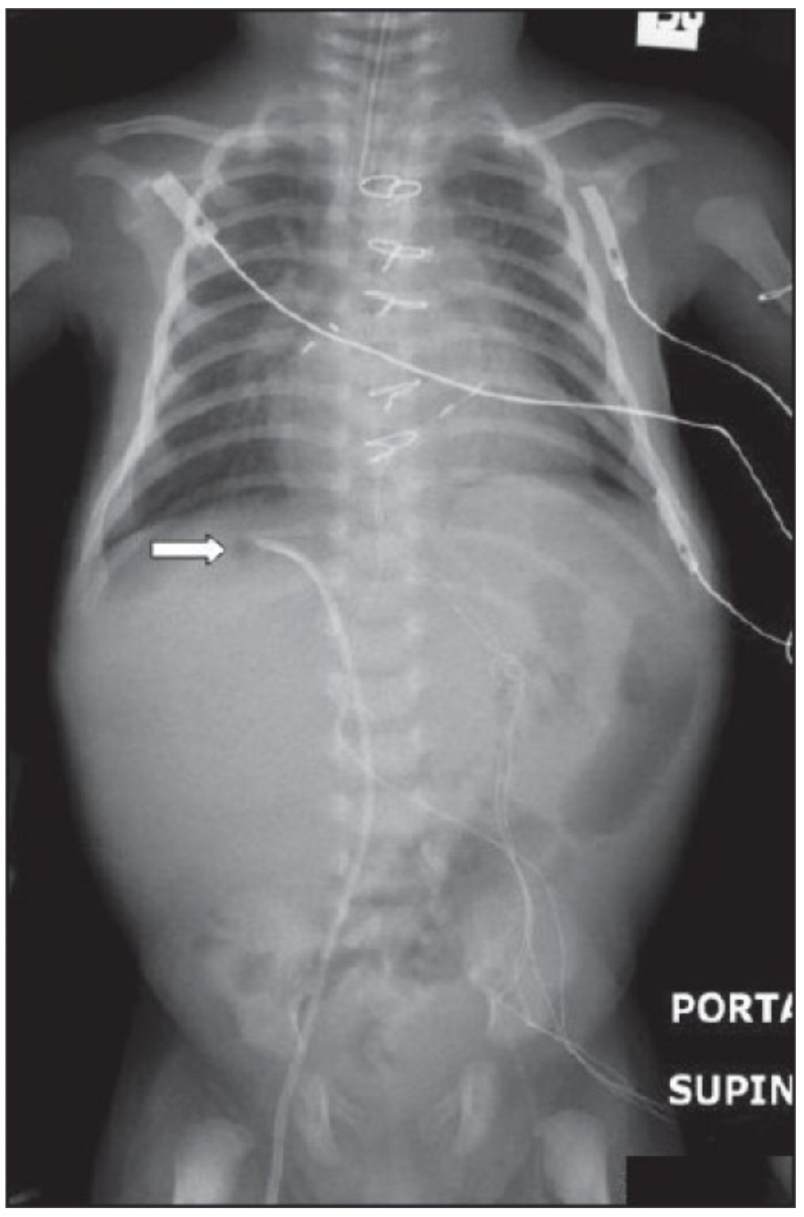
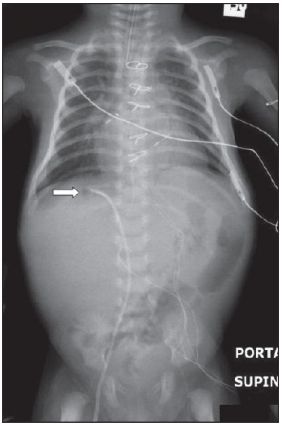
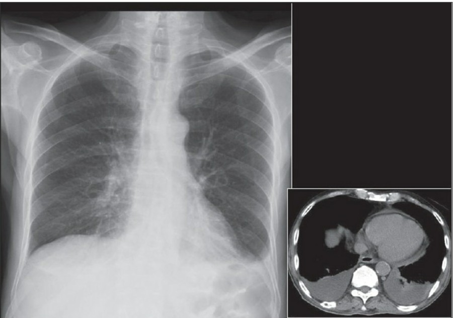
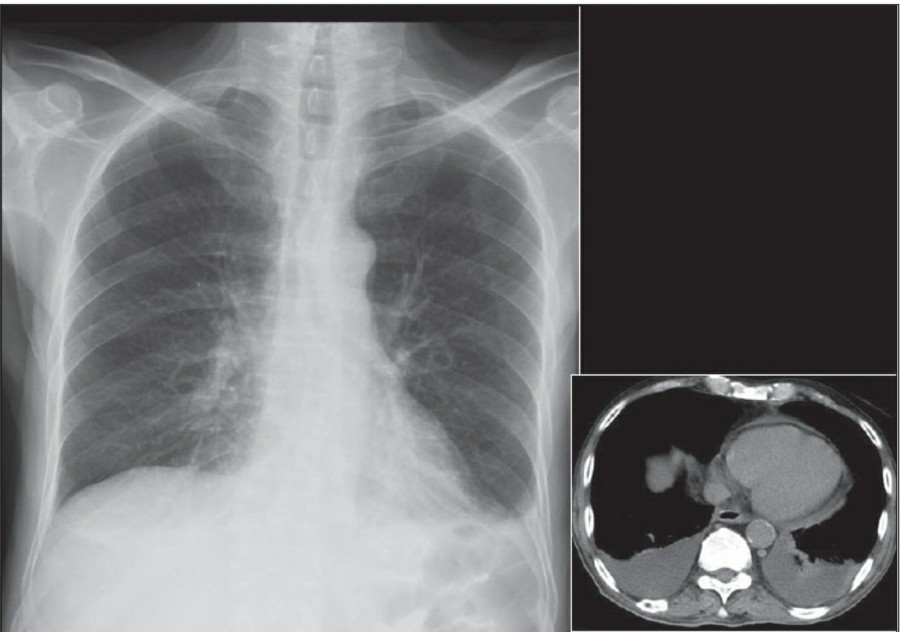
IACB는 right femoral artery를 통해 삽입하여 aortic isthmus나 left main bronchus의 근처인 celiac axis 위에 거치한다. 수축기 동안 lucent air-filled ballon은 fusiform 형태로 나타난다.

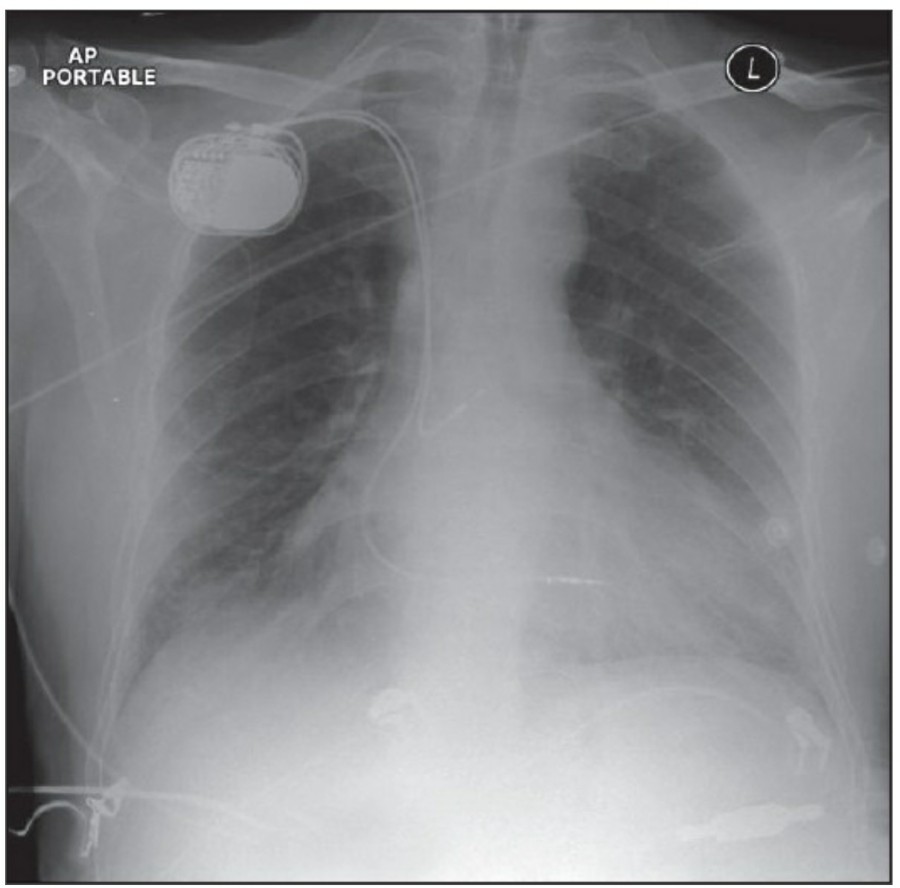
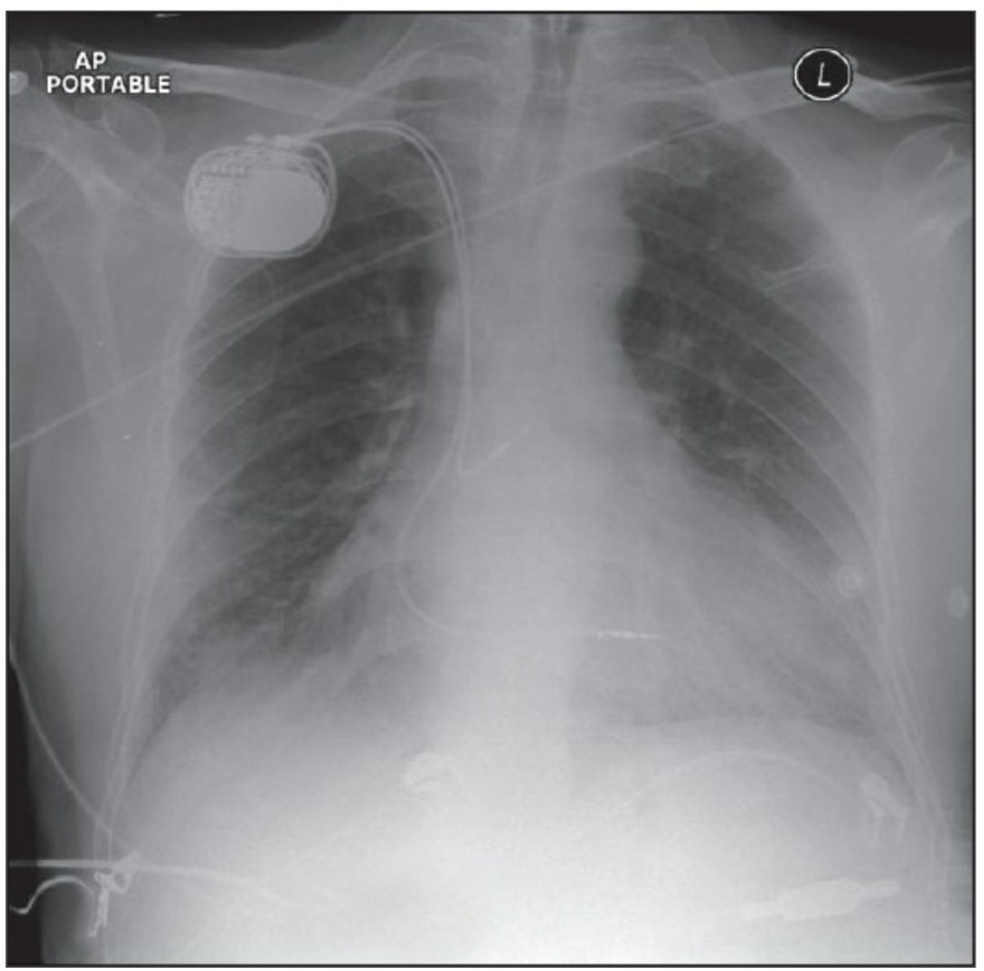
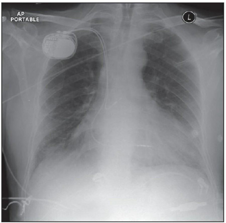
Cardiac pacing devices
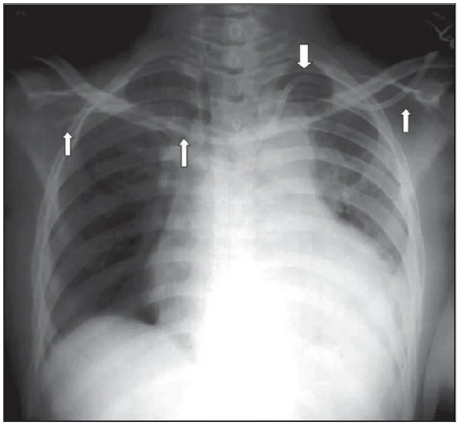
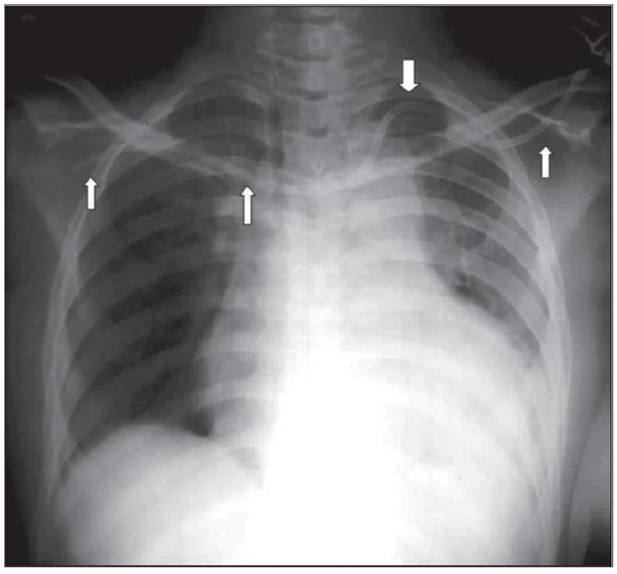
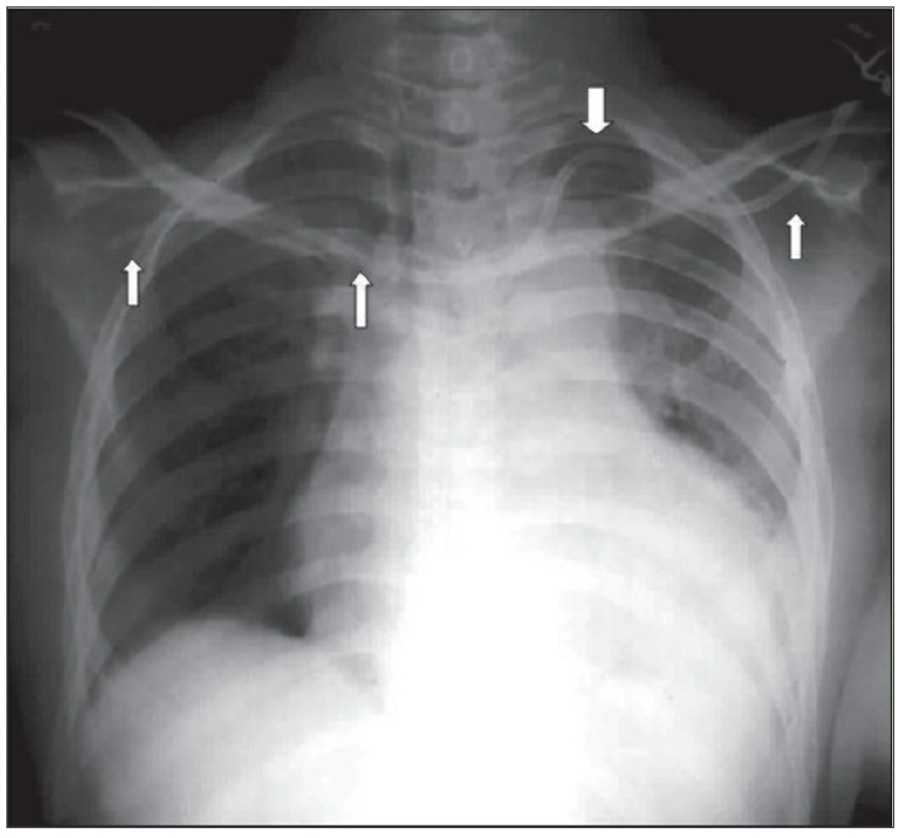
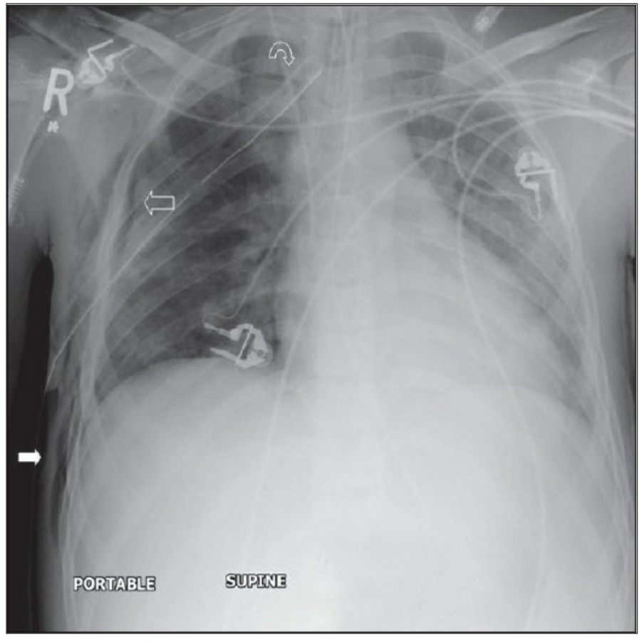
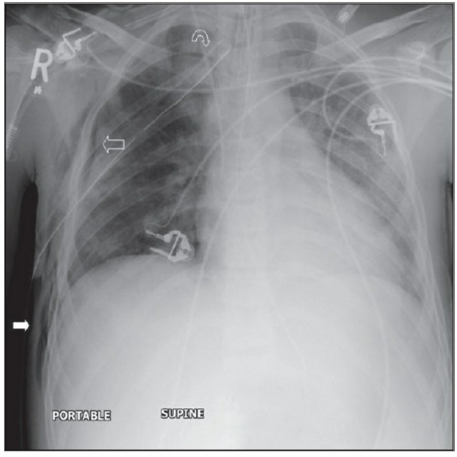
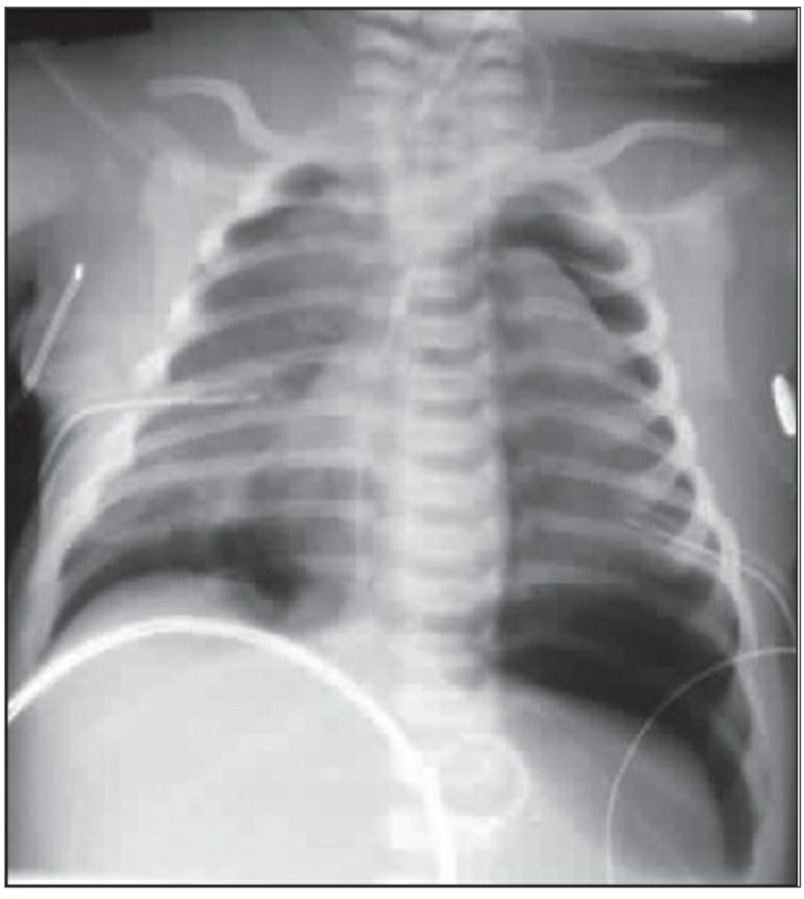
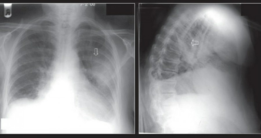
Temporary cardiac pacemaker는 cephalic vein이나 subclavian vien을 통해 right ventricl에 거치시킨다. AP, lateral chest X ray가 위치 확인을 위해 필요한다. Cardiac pacemaker의 tip은 심첨부에 위치해야 하며, pacemaker wire의 line이 꺾여 있어서는 안 된다. Lateral radiograph가 cardiac trabeculae 안에 묻혀 있는 tip을 확인하는데 도움이 된다. 제대로 거치된 게 맞다면 그 tip은 epicardial fat pad의 3, 4mm 안에 있어야 하며, 그 이상 넘어간다면 myocardium 천공 가능성이 있다. Coronary sinus 안에 들어갔을 경우 lateral radiograph 상에서 posterior 쪽에서 발견할 수 있다.



Pneumothorax and other intrathoracic air collections
Subcutaneous emphysema는 드물지 않으며 주로 drain이나 다른 device의 percutaneous intrathoracic placement 시 발생한다. Fascail plane을 따라 air dissection이 발생하는데 임상적으로 의미가 없는 경우가 많다.

Subcutanoeus emphysema는 pneumomediastinum과 관련이 있을 수 있다. 하지만, isolated cervical subcutaneous emphysema가 있을 경우에는 upper airway 손상에 대한 평가가 필요한데, 특히 difficult intubation이나 nasogastric tube insertion 후에 발생할 수 있다. Chest X ray 상에서 subcutaneous emphysema 소견은 명확하다; 하지만 주로 pectoralis region의 muscle bundle 사이에서 발생하는 fascial plane의 air dissection은 lung prehncyme의 변화를 가리곤 하며, pneumothorax의 발견도 어렵게 만든다.
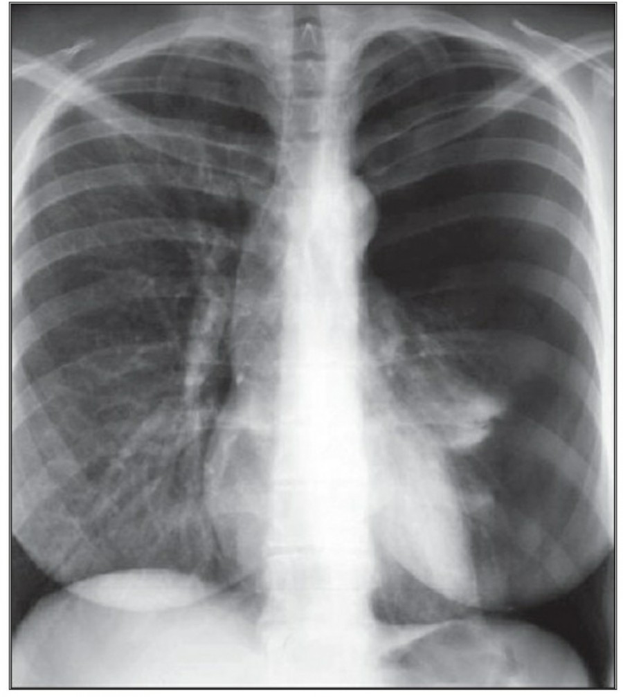
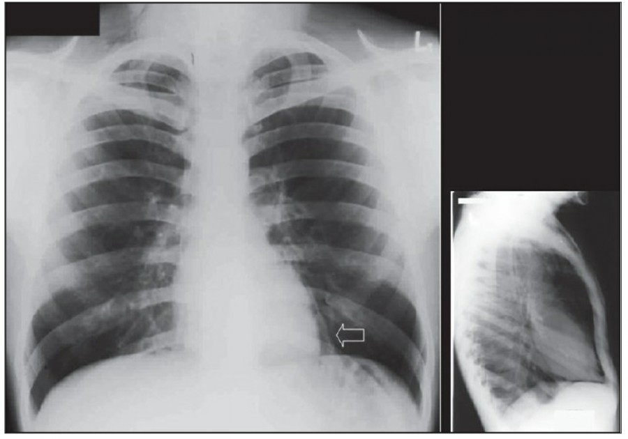
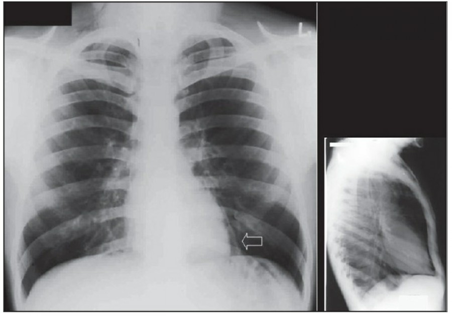
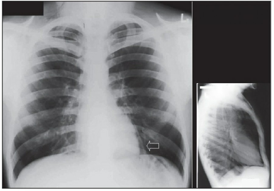
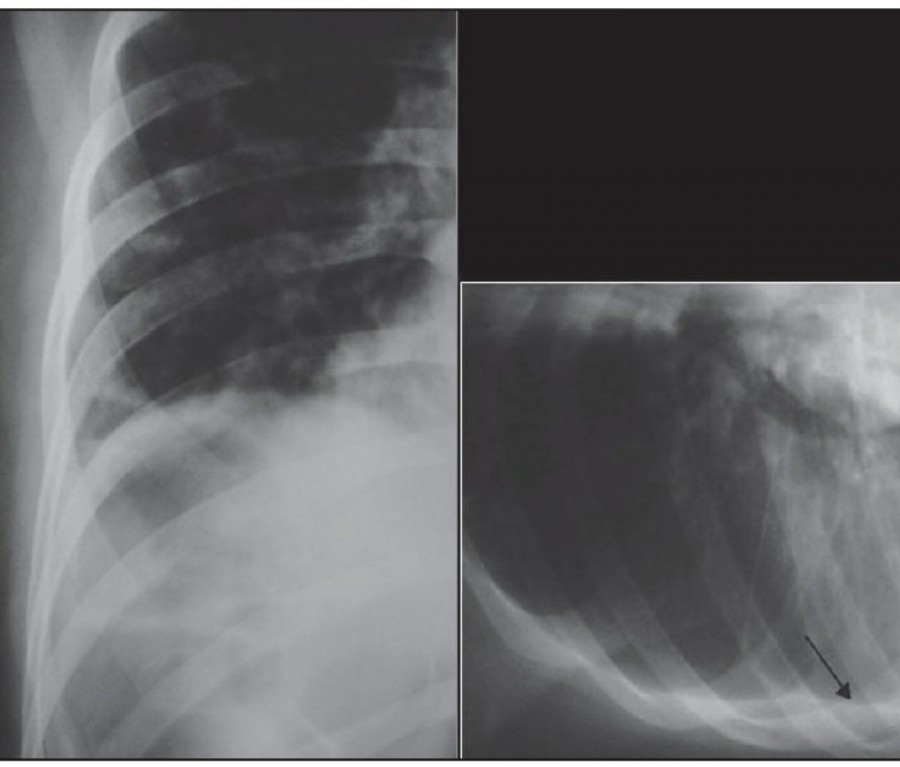
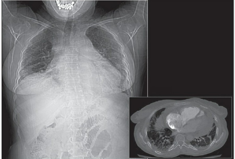
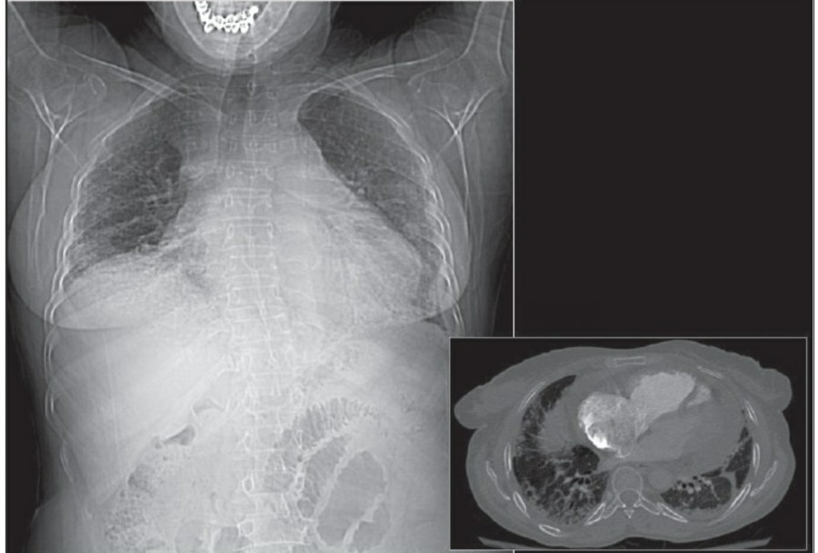
Pneumothorax
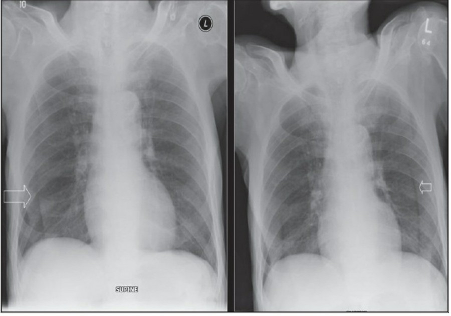
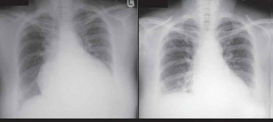
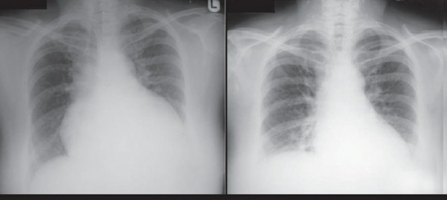
공기는 nondependent position으로 위치하므로, X ray상에서는 환자 자세에 따라 다르게 나타난다. Erect position에서 공기는 lung의 apicolateral surface에 위치하고 얇고 하얀 pleural line이 나타나며 그 뒤로 lung marking이 보이지 않는다.



하지만 pleural line 뒤로 lung marking이 존재한다고 해서 pneumothorax를 배제할 수 없다. Pneumothorax의 진단은 특히 parenchymal disease가 있을 때 진단하기 힘든데, 이는 compliance의 변화 때문에 collapse가 잘 안 되기 때문이다. Skin fold가 pneumothorax와 비슷하게 보이기도 한다.

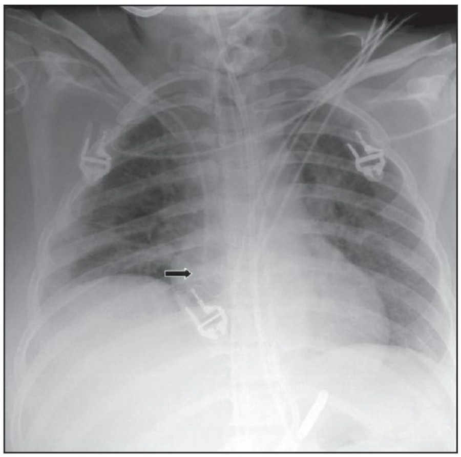
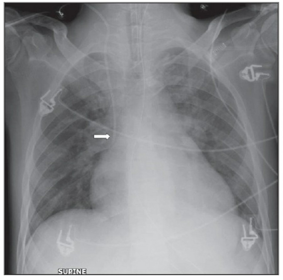
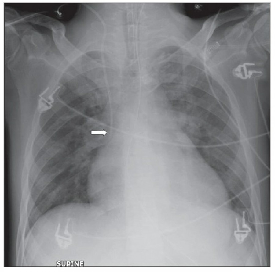
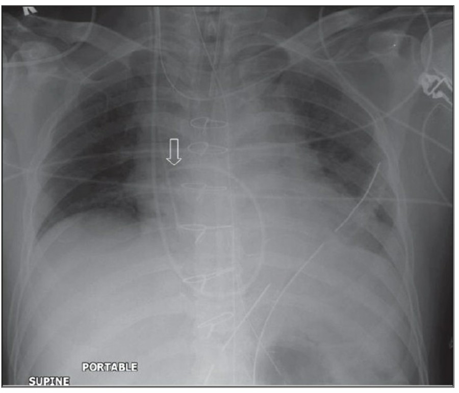
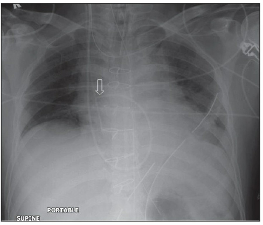
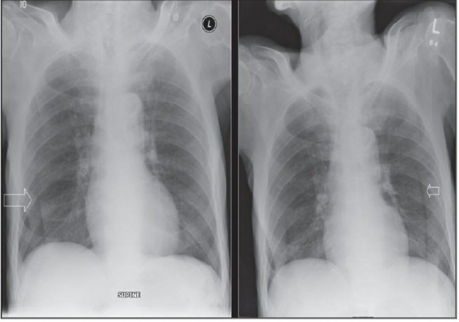
중환자에서 pneumothorax의 진단은 종종 supine radiograph에서 내릴 수 있다. Supine position에서 공기는 anteromedial 방향으로 모이게 되는데, apical air collection이 있을 경우 large pneumothorax가 있음을 시사한다. 공기는 lung과 diaphragm 사이의 subpulmonic location에 trap 되어 있을 수도 있다. 공기가 costophrenic sulcus로 anterolateral extension 될 경우, 이 costophrenic sulcus의 radiolucency를 증가시키는데, 이를 deep sulcus sign이라고 한다. Subpulmonic pneumothorax의 다른 특징으로 diaphragm의 superior surface와 IVC 윗부분이 뚜렷하게 보일 수 있다.
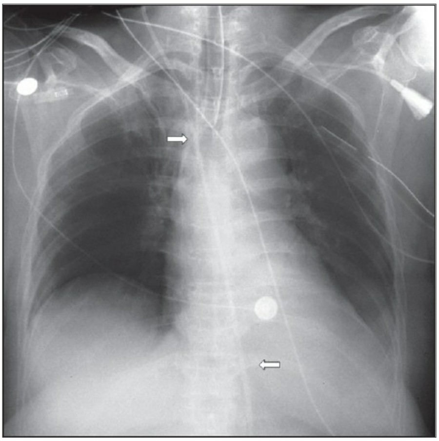
중환자에서 tension pneumothorax의 진단은 매우 힘들다. ARDS와 같은 lung의 병리적인 기전이 lung compliance를 감소시킴으로써 total lumg collapse를 막는다. 또한 tension pneumothorax의 특징인 mediastinal shift가 PEEP으로 인해 나타나지 않을 수 있다. Chest X ray 상에서 tension pneumothorax는 hemidiaphragm의 depression이나 heart border, SVC, IVC의 이동으로 나타날 수 있다.
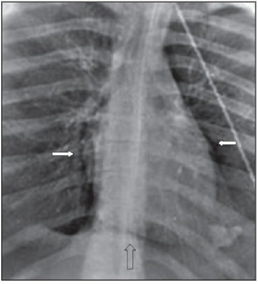
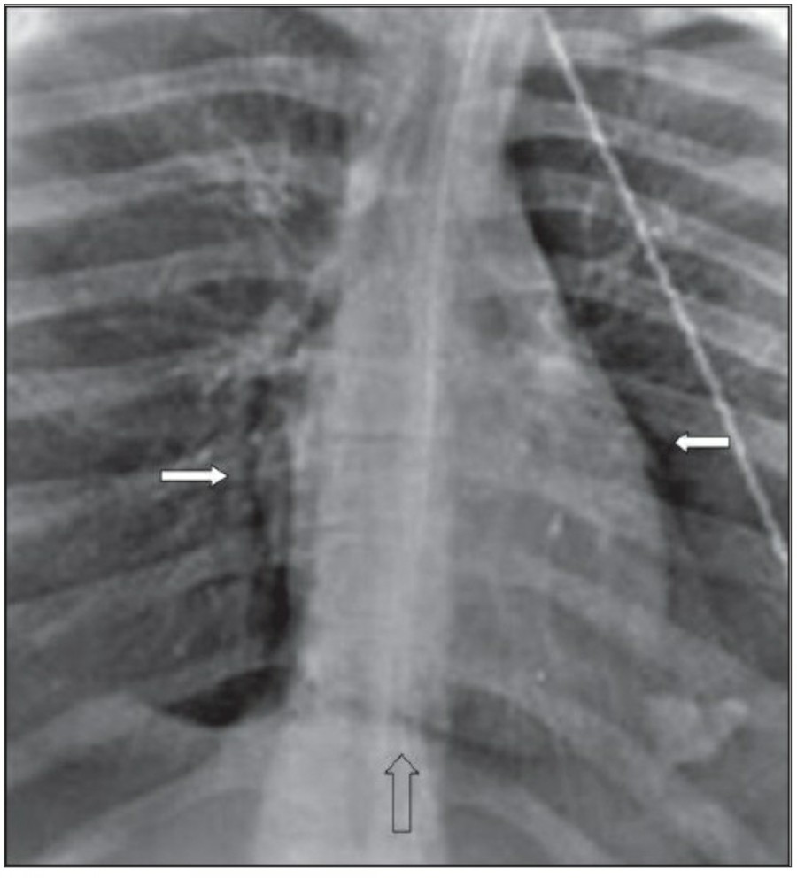
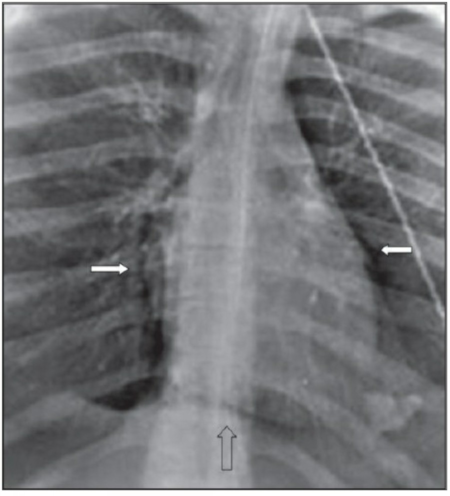
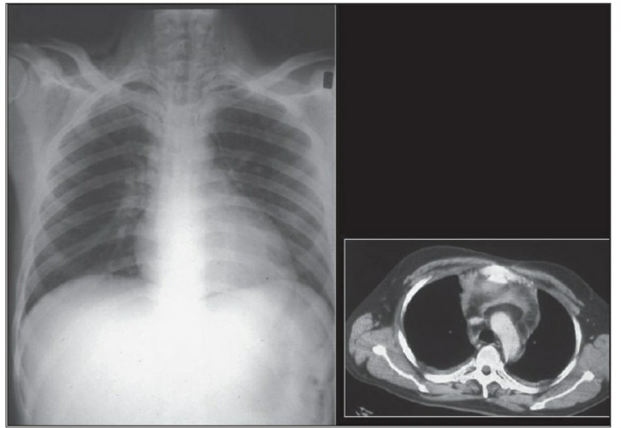
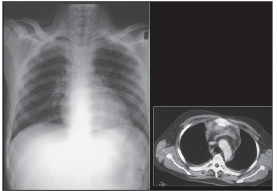
Pneumomediastinum
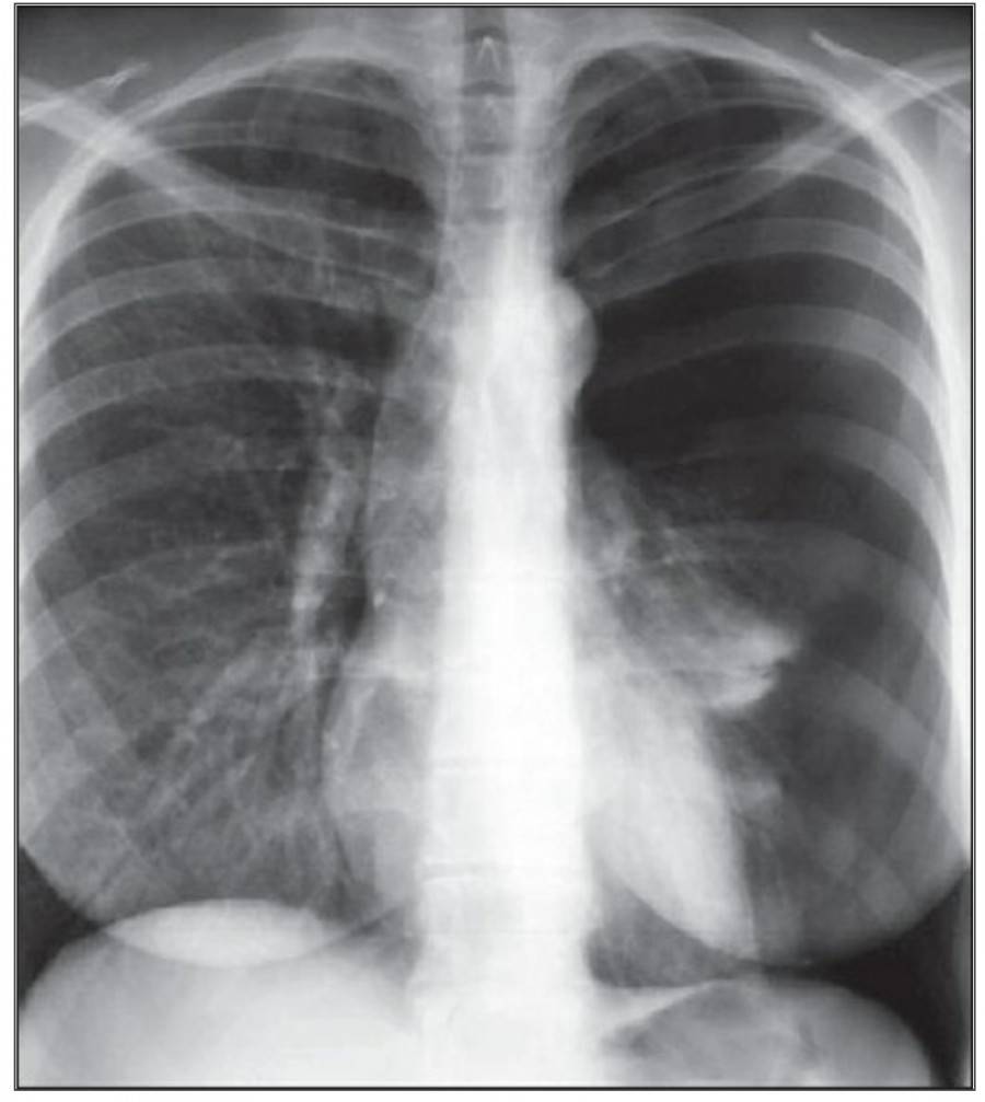
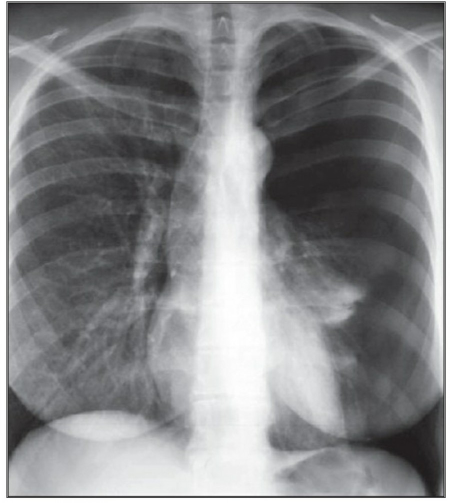
Pneumomediastinum은 mediastinum 안에 공기가 있는 경우를 일컬으며, intubation된 환자에서 구심적으로(centripetally) pulmonary interstitial dissection이 일어나는 경우와 관련이 있다.


또한 Mediastitnal air는 major airway 손상으로 인한 leakage나 retroperitoneum으로부터 fascial plane을 따른 air dissection에 의해 발생하기도 한다. Pneumomediastinum은 목까지 공기가 진행이 가능하고, pneumopericardium은 이와는 다르게 심장의 밑 부분으로 진행한다. Pneumomediastium은 일반적으로 무증상이지만, 간혹 청진 시 restrosternal crunch가 들릴 수 있다. Chest X ray상에서 공기가 major vessel 주변이나 SVC의 medial border, azygos vein에서 surrounding lucency로 보일 수 있다. 또한 aortic knuckle, descending aorta, pulmonary artery의 윤곽으로 나타날 수도 있다. Posteromedial pneumomediastinum은 주로 esophageal rupture의 결과로 나타날 수 있는데, praspinal costophrenic angle과 left diaphragm의 praietal pleural로 air dissection이 가능하다. 이 결과 V-sign of Naclerio라고 불리는 V-shaped lucency가 발생한다.
Pneumopericardium
Myocardium과 pericardium 사이에 공기가 존재하는 pneumopericardium은 pneumothorax의 합병증으로 발생 가능하지만 대부분은 심장 수술 후에 발견된다. Chest X ray 상에서 heart 주변으로 main pulmonary artery까지 진행된 lucent line으로 관찰된다. 공기는 cardiac shadow 아래에 모이는데 이는 continuous diaphragm sign으로 불리는, diaphragm 위의 midline을 건너는 소견이 나타난다.



Pleural effusion
방사선 소견상 Pleural effusion은 환자 흉부의 dependent area에 고인다. Erect position에서 확인하기가 쉬운데, 폐의 base에 고임으로써 costophrenic angle blunting을 보이고 lower lobe vessel들의 흐리게 한다. Supine position에서는 확인이 더 어려운데, pleural fluid는 posterior basilar space에 고여서 폐 base 쪽으로 intensity가 증가하는 homogenous density를 보인다. 정상적인 bronchoalveolar marking은 이와 같은 veil-like density 안에서 확인 가능하다. Fluid 양이 늘어나면서 diaphragm의 윤곽이 흐릿해지고 costophrenic angle도 없어지는데, 이 costophrenic angle blunting이 없더라도 pleural space에 1L 정도의 pleural fluid가 있을 수 있다는 것을 기억해야 한다. 그 양이 더욱 늘어날 수록 fluid는 lung의 apex에서 pleural cap으로 나타날 수 있으며, 이는 supine position에서도 확인 가능하다. Pleural fluid는 lung의 medial side에 고일 수도 있으며 이는 mediastinum의 확장으로 보일 수도 있다.
적은 양의 pleural fluid는 꼼꼼히 확인하더라도 supine radiograph에서 놓칠 수 있는데, 만약 chest X ray에서 보이지 않지만 임상적으로 의심이 되는 경우에는 lateral decubitus film으로 확인해 볼 수 있다. Fluid는 dependent position에 고이므로 환자를 의심되는 방향으로 옆으로 눕혀야 한다. Lateral decubitus film은 적은 양의 pleural fluiid는 물론이고 loculated effusion과 free effusion을 확진하는 데도 도움이 된다. 특히 loculated effusion은 한 개 이상의 drain이 필요할 수 있으므로 pleural drainage를 고려할 때 특히 중요한 검사이다. 중환자에서 흔하게 나타나는 subplumonic effusion은 lung base에 존재하는 pleural effusion을 말하는데, chest X ray 상에서 raised hemidiaphragm with flattening and lateral displacement of the dome 형태로 나타나며, lateral decubitus film이 도움이 된다.







Loculated pleural effusion의 진단은 쉽지 않은데, 특히 fissure 안에 있을 때 어렵다. Loculted effusion이 minor fissure 안에 있고 right middle lobe atelectasis가 있다면 supine chest radiograph에서 감별이 어려운데, interlobular effusion은 biconvex edges와 homogenous density로 나타나고 minor fissure는 유지되는 반면, atelectasis는 concave margin과 inhomogenous density로 나타나며 right heart border와 minor fissure가 보이지 않게 된다. 이런 경우 erect lateral radiograph나 CT가 도움이 될 수 있다.
Pericardial effusions
Chest X ray에서 잘 보이지 않으며, 적은 양은 cardiomegaly와 감별이 힘들다. Chest X ray에서 Pericardial effusion은 cardiac silhouette의 변화와 함께 cardiomegaly로 보일 수 있는데, 이는 featureless, globular or "water bottle" shape로 나타나게 된다. 가장 좋은 진단 방법은 echocardiography다.



Reference
Reading chest radiographs in the critically ill (Part I): Normal chest radiographic appearance, instrumentation and complications from instrumentation. Annals of Thoracic Medicine - Vol 4, Issue 2, April-June 2009
2024.02.08 - [의학] - 중환자에서 chest X ray 촬영 시 고려할 사항
중환자에서 chest X ray 촬영 시 고려할 사항
중환자실에서의 영상 검사 시행은 환자의 거동과 움직임 제한으로 인해 외래 환자와 비교했을 때 고려해야 할 점들이 있으며, 대표적으로 chest X ray를 들 수 있다. AP(anteroposterior) chest X ray 병동과
blueorbit.tistory.com
2023.12.06 - [의학] - 흉부 외상 환자에서 삽입한 chest tube(흉관) 위치의 중요성?
흉부 외상 환자에서 삽입한 chest tube(흉관) 위치의 중요성?
Dose Chest Tube Location Matter? An Analysis of Chest Tube Position and the Need for Secondary Interventions Background 흉부 손상 시 Chest tube(흉관) 삽입은 흔한 치료 방법 중 하나이다. 그동안 chest tube은 특정한 위치로 삽입
blueorbit.tistory.com
'의학' 카테고리의 다른 글
| Acute respiratory distress syndrome(급성 호흡곤란 증후군)에서 driving pressure와 survival의 관계 (0) | 2024.03.02 |
|---|---|
| 심방세동(atrial fibrillation)의 치료 (0) | 2024.03.02 |
| 섬망 발생을 줄이기 위해 멜라토닌을 예방적으로 투여한 효과는? (0) | 2024.03.01 |
| Reading chest radiographs in the critically ill (Part I) - 1 (0) | 2024.03.01 |
| 승압제를 말초정맥으로 투여해도 안전할까? (0) | 2024.02.29 |