급성호흡곤란증후군(ARDS, Acute Respiratory Distress Syndrome)은
중환자실에서 흔히 접하는 급성 호흡부전의 대표적인 형태다.
그러나 단순히 “산소화가 나쁜 폐렴”이나 “양측 폐침윤이 있는 환자”를 ARDS라고 부르는 것은 정확하지 않다.
ARDS는 명확한 진단 기준이 있으며,
현재 임상에서 가장 널리 사용되는 기준은 2012년에 제시된 Berlin definition이다.
베를린 정의는 이전에 사용되던 AECC (American-European Consensus Conference) 정의의 한계를 보완하기 위해 제시되었다. AECC 기준은 임상에서 적용하기 쉽다는 장점이 있었지만
산소화 정도에 따른 예후 예측 능력이 떨어지고,
영상 판독 기준이 모호하다는 문제가 있었다.
이를 보완하기 위해 ARDS 진단을 보다 명확하게 하기 위해 제시된 것이 Berlin definition이다.
베를린 정의에서는 ARDS 진단을 위해 네 가지 조건을 충족해야 한다.
1. 발병 시점
2. 영상 소견
3. 폐부종의 원인
4. 산소화 정도
이 네 가지 요소를 모두 충족해야 ARDS로 진단할 수 있다.
1. 발병 시점 (Timing)
ARDS는 급성으로 발생하는 질환이다.
Berlin definition에서는 다음과 같이 정의한다.
임상적 악화 또는 알려진 위험 인자 발생 후 1주 이내에 호흡부전이 발생해야 한다.
여기서 위험 인자에는 다음과 같은 것들이 포함된다:
폐렴, 패혈증, 위 내용물 흡인, 심한 외상, 췌장염, 대량 수혈, 흡입 손상, 약물 독성
예를 들어 폐렴 환자가 입원 후 2~3일 사이에
급격한 저산소혈증과 양측 폐침윤이 발생했다면
ARDS 가능성을 고려할 수 있다.
반면 몇 주에 걸쳐 서서히 진행하는 폐섬유화나 만성 간질성 폐질환 악화는
ARDS로 분류하지 않는다.
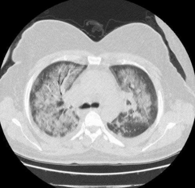
2. 영상 소견 (Imaging)
ARDS 진단에는 양측 폐침윤(bilateral opacities)이 필요하다.
영상은 보통 다음 중 하나로 확인한다:
chest X-ray, chest CT
영상에서 확인되는 폐침윤은 다음 원인으로 설명되어서는 안 된다:
단순 무기폐(atelectasis), 폐결절, 폐종괴
즉 양측 폐에 광범위한 침윤이 존재해야 하며,
단순히 한쪽 폐에만 폐렴이 있는 경우는 ARDS로 진단하지 않는다.
Chest CT에서는 보통 다음과 같은 패턴이 보인다:
- diffuse ground glass opacity
- dependent consolidation
- patchy infiltration

ARDS의 특징적인 영상 소견은
폐의 중력 의존 부위에 더 심한 consolidation이 나타나는 것이다.
이는 폐부종과 폐포 허탈이 중력에 따라 분포하기 때문이다.
3. 폐부종의 원인 (Origin of edema)
ARDS의 중요한 특징은 심장성 폐부종이 아니라는 것이다.
즉 폐침윤의 원인이 심부전이나 체액 과다 때문이라면
ARDS로 진단하지 않는다.
Berlin definition에서는 다음과 같이 기술되어 있다.
호흡부전이 심부전 또는 체액 과다로 완전히 설명되지 않아야 한다.
임상에서는 다음과 같은 정보를 통해 판단한다:
심장 초음파, BNP, 임상적 체액 상태, 기존 심장질환 여부
과거에는 pulmonary artery catheter로
pulmonary capillary wedge pressure를 측정하여
cardiogenic pulmonary edema를 구분하기도 했다.
그러나 현재는 대부분 심초음파와 임상 평가로 판단한다.
예를 들어 심부전 환자가 폐부종으로 저산소혈증이 생긴 경우는 ARDS가 아니라
cardiogenic pulmonary edema로 분류한다.
4. 산소화 정도 (Oxygenation)
ARDS의 중증도는 PaO₂/FiO₂ ratio (P/F ratio)를 이용해 분류한다.
중요한 조건은 PEEP 또는 CPAP가 최소 5 cmH₂O 이상 적용된 상태에서
측정해야 한다는 점이다.
Berlin definition에서는 ARDS를 다음 세 단계로 나눈다.
Mild ARDS
PaO₂/FiO₂ 200–300 mmHg
Moderate ARDS
PaO₂/FiO₂ 100–200 mmHg
Severe ARDS
PaO₂/FiO₂ ≤100 mmHg
이 분류는 단순한 숫자 구분 이상의 의미가 있다.
연구에서 확인된 것처럼 P/F ratio가 낮을수록 사망률이 높다.
Berlin definition 제안 당시 연구에서 보고된 대략적인 사망률은 다음과 같다.
Mild ARDS: 약 27%
\Moderate ARDS: 약 32%
Severe ARDS: 약 45%
이처럼 산소화 정도는 ARDS의 중증도와 예후를 평가하는 중요한 지표다.
Berlin definition이 임상에서 중요한 이유
Berlin definition은 단순히 ARDS를 정의하는 기준일 뿐 아니라
연구와 임상 치료의 기준점 역할을 한다.
대부분의 ARDS 임상 연구는 이 정의를 기준으로 환자를 포함시킨다.
예를 들어 다음과 같은 연구들이 Berlin definition 기반 환자군을 사용했다.
low tidal volume ventilation 연구
prone positioning 연구
neuromuscular blockade 연구
ARDS steroid 연구
따라서 ARDS 치료 전략을 이해하려면
먼저 Berlin definition을 정확히 이해해야 한다.
또한 실제 임상에서는 ARDS 진단이 항상 명확한 것은 아니다.
폐렴, 심부전, 체액 과다, 무기폐가 동시에 존재하는 경우도 많기 때문이다.
이런 경우에는 Berlin definition의 네 가지 기준을 하나씩 점검하면서
가장 설명력이 높은 병태생리를 찾는 과정이 필요하다.
임상에서 자주 발생하는 오해
ARDS 진단에서 흔한 오해 중 하나는
“양측 폐침윤과 저산소혈증이 있으면 ARDS다”라는 생각이다.
그러나 이는 정확하지 않다.
다음과 같은 상황은 ARDS처럼 보일 수 있지만 실제로는 다른 질환일 수 있다:
cardiogenic pulmonary edema
volume overload
diffuse pneumonia
pulmonary hemorrhage
acute interstitial pneumonia
따라서 ARDS 진단에서는 심장성 폐부종 배제와 적절한 임상 맥락이 중요하다.
정리
ARDS 진단은 다음 네 가지 요소를 모두 충족해야 한다:
1. 위험 인자 발생 후 1주 이내의 급성 호흡부전
2. 영상에서 확인되는 양측 폐침윤
3. 심부전 또는 체액 과다로 설명되지 않는 폐부종
4. PEEP ≥5 cmH₂O 상태에서 측정한 P/F ratio 감소
이 기준을 바탕으로 ARDS는 mild, moderate, severe로 분류된다.
Berlin definition은 현재 ARDS 진단의 표준으로 사용되고 있으며
대부분의 임상 연구와 치료 전략의 기준이 된다.
따라서 중환자실에서 ARDS 환자를 평가할 때는
이 네 가지 요소를 체계적으로 확인하는 것이 중요하다.
2026.03.13 - [중환자의학] - ARDS 환자에서 스테로이드를 사용하는 이유와 용법
ARDS 환자에서 스테로이드를 사용하는 이유와 용법
급성호흡곤란증후군(ARDS, Acute Respiratory Distress Syndrome)은중환자실에서 흔히 마주하는 치명적인 폐손상 상태다.폐렴, 패혈증, 흡인, 외상 등 다양한 원인에 의해 발생하며공통적인 병태생리는 폐
blueorbit.tistory.com
'중환자의학' 카테고리의 다른 글
| TPN 투여 시 간기능 수치의 상승 (0) | 2026.03.20 |
|---|---|
| ARDS 환자에서 스테로이드를 사용하는 이유와 용법 (0) | 2026.03.13 |
| 중환자에서 발생한 Aspiration Pneumonia(흡인성 폐렴)의 Chest CT 소견 (0) | 2026.03.13 |
| 중환자에서 발생한 Atelectasis(무기폐)의 Chest CT 소견 (0) | 2026.03.12 |
| 중환자에서 Candida가 배양되었을 때 Colonization과 Infection의 감별 (0) | 2026.03.12 |