중환자실에서 흉부 영상은 거의 매일 접하게 되는 검사다.
폐렴, ARDS, 폐부종, 흡인성 폐렴 등 다양한 질환이 비슷한 형태의 폐침윤으로 나타나기 때문에
영상 해석이 쉽지 않다.
특히 중환자실 환자는 장기간 침상 상태, 기계환기, 수술 후 상태, 체액 변화 등
다양한 요인이 동시에 작용하기 때문에 폐 영상이 복잡하게 보이는 경우가 많다.
이 때문에 단순히 “폐에 하얗게 보이는 부분이 있다”는 수준으로 해석하면 실제 질환을 정확히 판단하기 어렵다.
중환자실에서 폐 침윤을 해석할 때 가장 먼저 고려해야 하는 질환 중 하나가 atelectasis(무기폐)이다.
실제 임상에서는 폐렴으로 의심했던 환자의 상당수가 atelectasis로 판명되는 경우도 적지 않다.
따라서 폐렴이나 ARDS를 공부하기 전에 atelectasis의 영상 패턴을 확실히 이해하는 것이 중요하다.
Atelectasis는 폐포가 충분히 팽창하지 못해 폐 일부가 허탈된 상태를 의미한다.
폐가 공기로 채워져 있어야 정상적인 투과도를 유지하는데,
폐포가 무너지면서 공기가 줄어들면 영상에서는 상대적으로 음영이 증가한 것처럼 보인다.
즉 CT나 X-ray에서 하얗게 보이는 부분이 생긴다.

하지만 이 현상은 폐렴과는 본질적으로 다르다.
폐렴은 폐 실질이 염증으로 채워지는 것이고,
atelectasis는 폐가 단순히 접히거나 눌려서 부피가 줄어든 것이다.
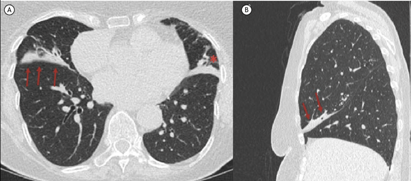
Atelectasis를 CT에서 구분하는 가장 중요한 단서는 폐 용적의 감소이다.
이를 volume loss라고 부른다.

폐렴이나 ARDS에서는 폐 용적이 크게 줄어들지 않는 경우가 많지만
atelectasis에서는 폐가 실제로 작아지기 때문에 주변 구조물이 함께 이동한다.
CT에서 확인할 수 있는 대표적인 volume loss 소견에는 여러 가지가 있다.
첫째, 폐엽 사이의 fissure가 이동한다.
폐가 줄어들면 인접한 폐엽 경계가 당겨지면서 fissure 위치가 변한다.
둘째, 횡격막이 상승한다.
폐가 허탈되면 횡격막이 위쪽으로 올라가는 모습이 나타날 수 있다.
셋째, 종격동 구조물이 병변 쪽으로 이동할 수 있다.
넷째, 폐 음영이 삼각형 또는 쐐기 모양으로 보이는 경우가 많다.
중환자실 환자에서 가장 흔한 형태의 atelectasis는
dependent atelectasis이다.
이는 중력 방향으로 폐가 눌리면서 발생한다.
대부분의 중환자실 환자는 장시간 누운 자세로 있기 때문에
폐의 뒤쪽, 즉 posterior lung 부위가 압박을 받는다.

CT에서는 폐의 후방 부위에 음영 증가가 나타나는데,
이를 폐렴으로 오해하는 경우가 많다.
하지만 자세히 보면 폐 용적 감소와 함께 나타나는 경우가 많고
체위 변화에 따라 개선되는 특징이 있다.
또 다른 중요한 원인은 분비물 저류이다.
기관삽관 상태이거나 기침 반사가 약한 환자에서는
기관지 내부에 점액이 축적될 수 있다.
이 점액이 기관지를 막으면 해당 폐엽으로 공기가 들어가지 못해
atelectasis가 발생한다.
이러한 경우 CT에서 특정 폐엽이나 segment가
갑자기 collapse된 형태로 나타날 수 있다.
이를 mucus plug atelectasis라고 부른다.
이 상황에서는 기관지내시경을 통해 점액을 제거하면 폐가 다시 팽창하는 경우도 많다.
수술 후 환자에서도 atelectasis는 매우 흔하다.
특히 상복부 수술이나 흉부 수술 후에는
통증 때문에 깊은 호흡을 하지 못하고
폐 확장이 충분히 이루어지지 않기 때문이다.
마취 후 잔여 효과, 통증, 장기간 침상 안정 등이
모두 atelectasis 발생에 기여한다.
이런 환자에서는 수술 후 24시간에서 48시간 사이에
폐 기저부에 atelectasis가 나타나는 경우가 많다.
영상에서 atelectasis를 pneumonia와 구분하는 또 다른 중요한 특징은
air bronchogram이다.
폐렴에서는 폐포가 염증성 삼출물로 채워지면서
주변 폐 조직이 하얗게 보이지만 기관지는 여전히 공기를 포함하고 있기 때문에
기관지가 검은 선처럼 보이는 air bronchogram이 나타나는 경우가 많다.
반면 atelectasis에서는 폐 전체가 함께 허탈되기 때문에
air bronchogram이 뚜렷하지 않을 수 있다.
물론 모든 경우가 그렇지는 않지만 감별에 도움이 되는 소견이다.
임상적으로도 두 질환은 차이를 보인다.
폐렴에서는 발열, 백혈구 증가, C-reactive protein 상승 등이 동반되는 경우가 많다.
반면 atelectasis에서는 이러한 염증 소견이 뚜렷하지 않을 수 있다.
또한 atelectasis는 체위 변경이나 적극적인 폐 확장 치료 후
빠르게 개선되는 경우가 많다.
예를 들어 suction, chest physiotherapy, incentive spirometry,
또는 기관지내시경 후 폐 음영이 빠르게 줄어드는 경우가 있다.
중환자실에서 chest CT를 해석할 때 atelectasis를 먼저 고려해야 하는 이유는
실제로 매우 흔하기 때문이다.
특히 다음과 같은 상황에서는 atelectasis 가능성을 먼저 생각해야 한다.
장기간 침상 상태, 기관삽관 환자, 수술 후 환자, 분비물 저류가 의심되는 환자, posterior lung에 국한된 음영이 보이는 경우 등이 이에 해당한다.
이러한 상황에서는 바로 폐렴으로 진단하고 항생제를 시작하기보다
폐 확장 치료와 분비물 제거를 먼저 고려하는 것이 합리적일 수 있다.
정리
atelectasis는 중환자실에서 가장 흔히 접하는 폐 음영 증가 원인 중 하나이며
폐렴과 혼동되는 경우가 많다.
CT 해석에서 가장 중요한 포인트는
폐 용적 감소와 dependent distribution이다.
fissure 이동, 횡격막 상승, 종격동 이동과 같은 volume loss 소견을 찾는 것이 핵심이다.
이러한 특징을 이해하면 중환자실에서 chest CT를 해석할 때
불필요한 항생제 사용을 줄이고 보다 정확한 진단에 접근할 수 있다.
# Aspiration Pneumonia의 chest CT 소견
2026.03.12 - [중환자의학] - 중환자에서 발생한 Aspiration Pneumonia(흡인성 폐렴)의 Chest CT 소견
중환자에서 발생한 Aspiration Pneumonia(흡인성 폐렴)의 Chest CT 소견
중환자에서 폐 침윤을 보았을 때 atelectasis(무기폐) 다음으로반드시 고려해야 하는 질환이 aspiration pneumonia(흡인성 폐렴)이다.실제 임상에서는 atelectasis와 aspiration pneumonia가 서로 혼동되는 경우가
blueorbit.tistory.com
'중환자의학' 카테고리의 다른 글
| ARDS 환자에서 스테로이드를 사용하는 이유와 용법 (0) | 2026.03.13 |
|---|---|
| 중환자에서 발생한 Aspiration Pneumonia(흡인성 폐렴)의 Chest CT 소견 (0) | 2026.03.13 |
| 중환자에서 Candida가 배양되었을 때 Colonization과 Infection의 감별 (1) | 2026.03.12 |
| 산소로 인한 조직 손상 (0) | 2026.01.13 |
| 비침습적인 산소치료 (0) | 2026.01.12 |