중환자에서 폐 침윤을 보았을 때 atelectasis(무기폐) 다음으로
반드시 고려해야 하는 질환이 aspiration pneumonia(흡인성 폐렴)이다.
실제 임상에서는 atelectasis와 aspiration pneumonia가 서로 혼동되는 경우가 매우 많다.
특히 중환자는 의식 저하, 기관삽관, 위장관 기능 저하, 장기간 침상 상태 등
여러 요인 때문에 흡인 위험이 높기 때문에
aspiration pneumonia가 흔하게 발생한다.
Aspiration pneumonia는 위 내용물이나 구강 분비물이 기도로 들어가면서
폐에 염증 반응을 일으키는 질환이다.
흡인되는 물질에는 위산, 음식물, 타액, 세균 등이 포함될 수 있다.
이러한 물질이 폐로 들어가면 폐 실질 손상과 함께 염증 반응이 발생하고
영상에서는 폐 침윤으로 나타난다.
흡인성 폐렴은 병태생리적으로 폐렴의 한 형태이지만
일반적인 세균성 폐렴과는 영상 분포가 다르다는 특징이 있다.

Aspiration pneumonia를 CT에서 감별할 때 가장 중요한 개념은
dependent distribution이다.
이는 중력 방향으로 폐 병변이 분포한다는 의미이다.
흡인된 물질은 기도를 따라 이동하다가
결국 중력 방향으로 내려가게 되기 때문에
폐의 아래쪽이나 뒤쪽 부위에 침윤이 집중되는 경향이 있다.
환자의 자세에 따라 침윤 위치도 달라진다.
환자가 누운 자세, 즉 supine 상태일 경우에는
폐의 posterior segment나 superior segment of lower lobe에 병변이 생기는 경우가 많다.
반면 환자가 앉거나 서 있는 상태에서는
lower lobe basal segment가 더 흔하게 침범된다.
그러나 중환자는 대부분 누운 자세이기 때문에
실제 임상에서는 폐의 posterior lower lung에서 aspiration pneumonia가 나타나는 경우가 많다.
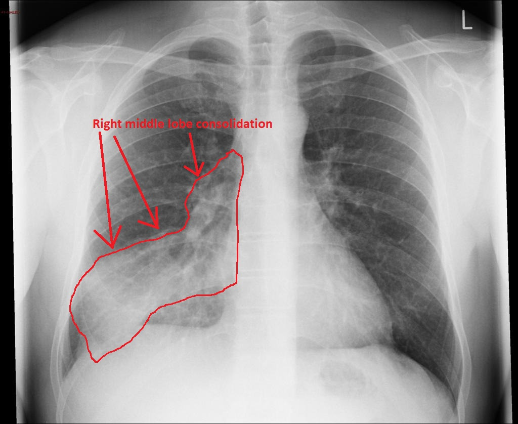
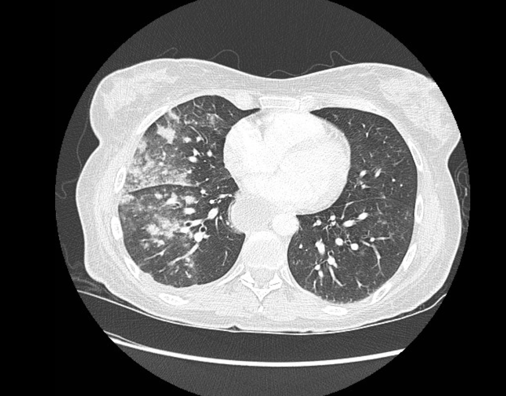
CT에서 aspiration pneumonia의 전형적인 모습은 patchy consolidation이다.
폐의 특정 폐엽이 완전히 하얗게 차기보다는
불규칙한 음영 증가가 여러 군데 나타나는 경우가 많다.

또한 air bronchogram이 동반될 수 있다.
이는 폐포가 염증성 삼출물로 채워지면서 폐 실질은 하얗게 보이지만
기관지는 여전히 공기를 포함하고 있기 때문에 검은 선 모양으로 보이는 현상이다.

Aspiration pneumonia는 종종 양측 폐에 동시에 나타나기도 한다.
특히 하엽 posterior 부분에서 양측성으로 침윤이 나타나는 경우가 흔하다.
이러한 패턴은 단순 세균성 폐렴과 구분하는 데 도움이 된다.
일반적인 세균성 폐렴은 특정 폐엽에 국한된
lobar consolidation 형태로 나타나는 경우가 많기 때문이다.
중환자에서 aspiration pneumonia가 흔하게 발생하는 이유는 여러 가지가 있다.
첫 번째는 의식 저하이다.
뇌졸중, 진정제 사용, 패혈증 등으로 의식 수준이 떨어지면
기도 보호 반사가 약해져 흡인이 쉽게 발생한다.
두 번째는 기관삽관이다.
기관내 튜브가 삽입된 환자에서는
구강 분비물이 기도로 흘러 들어갈 가능성이 높다.
세 번째는 위장관 기능 저하이다.
위 배출 지연이나 위 내용물 역류가 있는 경우
흡인 위험이 증가한다.
네 번째는 장기간 침상 상태이다.
중환자실 환자는 대부분 오랜 시간 누워 있기 때문에
위 내용물이 식도를 통해 역류할 가능성이 높다.
Aspiration pneumonia의 원인균은 일반적인 지역사회 폐렴과는 다소 차이가 있다.
구강 내 정상 세균이 함께 흡인되는 경우가 많기 때문에
anaerobic bacteria가 중요한 역할을 한다.
또한 중환자실 환경에서는 Klebsiella pneumoniae, Enterobacter species, Escherichia coli 같은
장내 세균이 원인이 되는 경우도 많다.
따라서 임상 상황에 따라 항생제 선택이 달라질 수 있다.
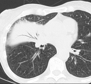
영상에서 aspiration pneumonia를 atelectasis와 구분하는 것은 매우 중요하다.
두 질환 모두 폐의 posterior lower lung에 음영 증가가 나타날 수 있기 때문이다.
그러나 atelectasis에서는
폐 용적 감소(volume loss)가 나타나는 경우가 많고
fissure 이동이나 종격동 이동 같은 소견이 동반될 수 있다.
반면 aspiration pneumonia에서는
폐 용적 감소가 뚜렷하지 않고
폐 실질 내부에 patchy consolidation이 나타나는 경우가 많다.
임상 증상도 감별에 도움이 된다.
aspiration pneumonia에서는 발열, 백혈구 증가, 염증 수치 상승 등이 동반되는 경우가 많다.
반면 atelectasis에서는 이러한 염증 반응이 뚜렷하지 않은 경우가 많다.
또한 atelectasis는 체위 변경이나 폐 확장 치료 후 비교적 빠르게 호전되는 경향이 있다.
Aspiration pneumonia는 단순 폐렴에 그치지 않고
심한 경우 ARDS(Acute Respiratory Distress Syndrome, 급성 호흡곤란 증후군)로 진행할 수 있다.
위산이 폐로 들어가는 경우 화학적 폐손상이 발생할 수 있으며
심한 염증 반응이 일어나 폐포-모세혈관 장벽이 손상될 수 있다.
이러한 경우 bilateral diffuse infiltrate로 진행하면서
ARDS가 발생할 수 있다.
따라서 중환자에서 posterior lung 중심의 폐 침윤을 보았을 때는
다음과 같은 질문을 하는 것이 도움이 된다.
첫째, 폐 용적 감소가 있는가.
둘째, 병변이 중력 방향으로 분포하는가.
셋째, 환자에게 흡인 위험 요인이 있는가.
이러한 질문을 통해 atelectasis인지 aspiration pneumonia인지 감별할 수 있다.
정리
정리하면 aspiration pneumonia의 CT 특징은 다음과 같다.
병변은 중력 방향으로 분포하며 posterior lung이나 lower lobe에서 흔히 나타난다.
영상에서는 patchy consolidation과 air bronchogram이 보일 수 있다.
양측 폐 하엽에서 동시에 나타나는 경우도 많다.
이러한 특징을 이해하면 중환자에서 폐 침윤을 해석할 때
atelectasis와 aspiration pneumonia를 보다 정확하게 구분할 수 있다.
# 무기폐의 chest CT findings
2026.03.12 - [중환자의학] - 중환자에서 발생한 Atelectasis(무기폐)의 Chest CT 소견
중환자에서 발생한 Atelectasis(무기폐)의 Chest CT 소견
중환자실에서 흉부 영상은 거의 매일 접하게 되는 검사다.폐렴, ARDS, 폐부종, 흡인성 폐렴 등 다양한 질환이 비슷한 형태의 폐침윤으로 나타나기 때문에영상 해석이 쉽지 않다.특히 중환자실 환
blueorbit.tistory.com
'중환자의학' 카테고리의 다른 글
| ARDS의 진단 기준: 베를린 정의를 중심으로 (0) | 2026.03.13 |
|---|---|
| ARDS 환자에서 스테로이드를 사용하는 이유와 용법 (0) | 2026.03.13 |
| 중환자에서 발생한 Atelectasis(무기폐)의 Chest CT 소견 (0) | 2026.03.12 |
| 중환자에서 Candida가 배양되었을 때 Colonization과 Infection의 감별 (0) | 2026.03.12 |
| 산소로 인한 조직 손상 (0) | 2026.01.13 |